


|
|
|
|
|
PMNews
Browse PMNews Issues
Previous Issue | Next Issue
| PM News | |
The Voice of Podiatrists
Serving Over 11,000 Podiatrists Daily
July 10, 2009 #3,593 Publisher-Barry Block, DPM, JD
A service of Podiatry Management http://www.podiatrym.com E-mail us by hitting the reply key. COPYRIGHT 2009- No part of PM News can be reproduced without the express written permission of Kane Communications, Inc.
|
|
SureFit™ Offers Discount on EUCERIN Products
Now through July 31, 2009 you will receive an additional 20% OFF all SureFit orders for Eucerin Creams and Lotions. All sizes, part nos. and packaging information provided on page 124 of the SureFit Product Catalog. Call SureFit Customer Service today to receive your copy.
| Eucerin Product Description |
Part No. |
Discounted Price |
| Moisturizing Lotion, 4 oz. bottle |
BDF63356 |
$ 3.13/ea. |
| Cream, 1 lb. jar, 12/case |
BEI100021 |
$18.47/ea. |
| Cream, 2 oz. tube, 24/case |
BEI103868 |
$ 6.22/ea. |
| Lotion, 8.4 oz. bottle, 12/case |
BEI11019 |
$ 9.67/ea. |
| Lotion, 16.9 oz. bottle, 12/case |
BEI11020 |
$13.96/ea |
Call SureFit™ at 800.298.6050 to order today.
|
|
| PODIATRISTS IN THE NEWS | |
CT Podiatrist Provides Advice on Choosing Proper Athletic Socks
“The key factors to choosing proper athletic socks are stitching and materials,” said Dr. Joseph DiFrancesca, a Norwich podiatrist on the Backus Hospital Medical Staff.
|
| Dr. Joseph DiFrancesca |
The best socks are those that have no stitching since these serve as a source of irritation. He agrees that materials should be both wicking and antimicrobial. DiFrancesca recommends socks made from merino wool since they have natural wicking properties and silver-based fibers that reduce infection and odor.
Source: Anthony Alessi. MD, The Norwich Bulletin [7/7/09]
|
|
Switching = Saving
Fit your patients with the Finest Shoes & Inserts, and SAVE:
Shoes - $42 to $52; Prefab Inserts (with unique Arch-Filler) - $8.95;
Custom Inserts (including accommodations) - $23.00; Toe-Filler - $75.00;
• The Best Service: The fastest fulfillment rate and the lowest in back orders: Owning its shoe factory overseas allows Orthofeet to ensure the highest quality and unsurpassed service. In the rare case that a specific shoe is unavailable, Orthofeet will immediately produce and ship it by air to keep all products in stock.
• The Most Innovative Designs: including revolutionary Tie-Less shoes, Easy Slip-On® shoes, great looking stretchable shoes, and fisherman shoes with stretch. For more information click here
Special Offer: Get the first 10 pairs at Half Price!!!
www.orthofeet.com 800-524-2845
|
|
| IN THE COURTS | |
Court Rejects Physician Challenge to Change in Self-Referral Rule
A federal trial court turned down a challenge brought by a group of physicians and physician-owned entities to a recent change in the federal self-referral rules that doctors worry could harm patient care.
The Stark law generally prohibits physicians from referring patients to entities in which they have a financial stake. Centers for Medicare & Medicaid Services rules now interpret an entity to include only the party that directly bills Medicare for designated health services. But as of Oct. 1, CMS will use the term entity more broadly to include those providing the services billed to Medicare. This policy change was detailed in a final rule released in August 2008.
Some legal experts say the ruling leaves in place a new rule likely to invalidate many physician-hospital arrangements and diminish patient care. The decision also could make it more difficult for doctors to challenge related Stark law regulations in the future, they say.
Source: Amy Lynn Sorrel, AMNews [7/6/09]
|
|
PRESENT Podiatry
Center of the Online Podiatry Universe
All the benefits of a Live Conference available to you conveniently Online
without the high costs of travel, hotel, and time away from the office
• Many great professional education and networking opportunities •
• CME lectures by the finest teachers in podiatry •
• Get answers to questions from world experts •
• Connect with Colleagues all over the world •
• Best Podiatry Board Review •
http://podiatry.com
888 802-6888
|
|
| PRACTICE MANAGEMENT TIP OF THE DAY | |
A One-Word Tactic to Beat Negativity
Take this simple step to greatly decrease negativity in your workplace:
Replace the word “problem” with “situation”: What difference will that make? When you have a “problem,” you feel stuck with it. When you have a “situation,” it seems temporary and solvable.
Source: Adapted from “Magic Words That Change Negative to Positive,” Harriet Meyerson via Communication Briefings
|
|
The PERFECT Diabetic Sock is Here
Dr. Comfort has created the perfect diabetic sock.
Here’s Why:
• Nano Bamboo Charcoal Fibers provide natural deodorizing, breathability & moisture control
• Contoured design perfect for the diabetic foot
• Seamless construction for a comfortable fit
• Patient friendly choices- DrC socks come in four styles and multiple colors!
Your patients are looking for a high quality, comfortable diabetic sock. Why not provide them the perfect sock for their diabetic condition? Call 800-556-5572 or email Dr. Comfort now to learn more.
Dr. Comfort: The Finest Quality Shoes and SOCKS, PERIOD!
|
|
| MEDICARE DEMANDS FOR REPAYMENT OF OVERPAYMENTS | |
Part 5 - More answers to some key questions. By David Mullens, DPM, JD 3. How do you appeal a demand for repayment of an overpayment?
Overpayments are appealed exactly the same way underpayments are appealed. However, and this is a huge “however”, in order to stop the recoupment process in its tracks during the Redetermination appeal, you MUST submit your Redetermination appeal within 30 days of receiving the notice of overpayment. Similarly, in order to stop the recoupment process in its tracks during the Reconsideration appeal, you must submit your Reconsideration appeal within 60 days of receiving the Redetermination decision. In either case, if you exceed the statute of limitations, the contractor will start recoupment of the full overpayment amount, plus interest, from your future earnings. Don’t let them do this! Get your appeals in early.
4. What are the chances the contractor will decide in your favor at the Redetermination appeal level?
Zero. The contractor gets to pocket a portion of the overpayment amount recovered.
5. What are the chances the QIC will decide in your favor at the Reconsideration appeal level?
Close to zero. The QIC wants to keep CMS happy so the QIC can get to keep the lucrative CMS contract.
6. What are the chances that the ALJ will decide in your favor at the ALJ Hearing appeal level?
Excellent. The Administrative Law Judges are truly neutral parties who are not bound by the decisions of the contractor or the QIC. Your Hearing is a ‘brand new trial’ and the ALJ will consider all the evidence as though being presented for the first time. Moreover, with rare exceptions, the ALJs are not only fair, they also understand the financial motivation of the contractors as well as the difficulties inherent with record-keeping in the day-to-day practice of medicine. Your records do not have to be perfect, they just have to legibly show what you did and why you did it – in a way that makes sense to the ALJ.
|
|
FREE SAMPLE--Powerstep Protech CustomPost Customizable Orthotic*
Powerstep ProTech CustomPost is the newest idea in prefabricated orthotics and the most innovative product Powerstep has ever introduced. Medical professionals have responded to this new concept with an unprecedented number of requests for a free sample. Many have already successfully incorporated it into their practice.
ProTech CustomPost’s unique snap-on heel options allow medical professionals to truly customize a prefabricated orthotic to meet patient needs. A professional can select from neutral, two degree and four degree heel posts, and combine it with CustomPost’s firmer shell and extra heel cushioning to help relieve heel and arch pain as well as knee and lower back pain. ProTech CustomPost is being sold only to members of the medical profession.
*This offer is for medical professionals only. Call us today for your free sample at 888-237-3668 Stable Step, Inc. www.powersteps.com
|
|
| QUERIES (CLINICAL) | |
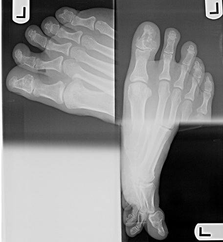
Query: Bone Lesion of Hallux
A 47 y/o male presented to my office with complaint of a painful lump on his L hallux of 4 years duration which occurred after a "jamming" impaction-type injury. PMH is negative. He never sought treatment until now. There is pain with direct pressure on the area and there is nail dystrophy (thickening and incurvation on the lateral border). According to the patient, the lesion has been unchanged in size over the last 4 years.
|
| Bone Lesion of Hallux |
X-rays show what appears to be an expansile, loculated, cystic-type bone lesion. I would appreciate any suggestions as to what type of tumor this may be, as well as treatment recommendations? I am concerned that without some type of bone grafting, excision/curettage of the lesion may lead to instability. Any recommendations for grafting/fixating this?
Judd Davis, DPM, Colorado Springs, CO
|
|
MICROMAT NAIL-DRILL SYSTEM
FOR PATIENT COMFORT
Med-Pro Corporation features the Micromat 3000 Nail Drill System for debriding patients' nails by using a controlled water and alcohol combination spray. The spray also keeps the dust away from the doctor and down on the patient's feet, to be wiped away with a piece of gauze. Patients will love this drill as the combination of water and alcohol reduces the friction heat, allowing the doctor to work more aggressively. The Micromat features include variable speed control, spray adjustment, forward and reverse and a foot control. The nail drill system is manufactured in Switzerland. Med-Pro Corp. includes a two-year warranty on both parts and labor and a 30-day, money-back guarantee. All service is performed by Med-Pro Corp in the USA. We have just introduced a new line of autoclavable burrs to be used with the Micromat. However, the Micromat will also accept most standard podiatry burrs. For further information, go onto our website at medprocorp.com or phone us at 800-633-7761.
|
|
| RESPONSES / COMMENTS (CLINICAL) | |
RE: Recurrent Bunion (Richard Frost, DPM) From: Multiple Respondents
Dr. Frost’s patient has hallux limitus (evidenced by uneven narrowed 1st MTP joint space and clinical presentation of decreased 1st MTP ROM). Her bone stock looks pretty good on film, so I'd perform a traditional step-wise hallux limitus repair w/ sesamoid release from the plantar metatarsal head and Youngswick 1st metatarsal osteotomy. In addition, the capital fragment can be laterally transposed to address the residual mild IM angle. This should address the residual bunion and 1st MTP joint stiffness. You can follow w/ PT for aggressive post-op passive ROM exercises.
Barry Mullen, DPM, Hackettstown, NJ, yazy630@aol.com
I have seen similar patients over the years. The joint is arthritic on x-ray. Even with 40 degrees of motion, I have performed many 1st MTPJ arthrodeses on similar feet. This operation is especially effective in ligamentously lax patients with a clinically-evident hypermobile first ray. I favor a single interfragmentary screw placed from the phalangeal base medially to the MT head laterally, and a 4 hole Acumed 3.5 locking plate. Patients are appropriately off-loaded for 6 weeks in an “ortho-wedge” shoe. X-rays typically confirm consolidation of the fusion at 6 weeks, when normal weight-bearing is permitted in a gym shoe or Croc. Patients are rendered pain-free with a straight great toe, and really have a high degree of surgical outcome satisfaction.
Godfrey Viegas, DPM, Crystal Lake, IL, gviegas1234@sbcglobal.net
The first metatarsal appears long and the cheater Akin didn't help the MTPJ. Is there an elevatus? How active is this patient? An arthrodesis may be necessary due to degenerative changes to the joint. Shortening the first, as the late Irv Pischker used to say, may also help to decompress the joint if there is any salvageable cartilage left.
David Dragoo, DPM, Mexico, MO, daveftdr@aol.com
|
MEETING NOTICES
LEARN and EARN • SUPERBONES 2010 Conference January 14-17, 2010 •
• Atlantis, Paradise Island, Nassau, Bahamas • 20 hours CME • • Over 25 Featured Speakers including: Kalish, Steinberg, Zelen, Armstrong, Schoenhaus, Harkless, Jacobs, Block • Practical Skills Workshops • Medical and Surgical Advances in the Lower Extremity • Intense AM Learning Sessions • Join us for this dynamic and growing annual conference •
View FREE SAMPLE LECTURE from prior year’s Superbones program. To register online, click here or phone 800.966.9056
|
|
| RESPONSES / COMMENTS (NON-CLINICAL) - PART 1 | |
RE: Sign of the Times (Peter Bregman, DPM) From: Ivar E. Roth, DPM, MPH, Michael M. Rosenblatt, DPM
Dr. Bregman wonders why a patient would view a doctor as a "car salesman" and not a "healer." Easy answer. Treat the patient as someone in need of care, not as someone to whom you are selling something. Be caring and concerned. Be professional. Act like a healer, not a salesperson. Start concentrating on meetings that teach you to be a better doctor and not a better salesman. Maybe your associate needs to read this letter.
Allen Mark Jacobs, DPM, St. Louis, MO, allenthepod@sbcglobal.com
I agree with Dr. Bregman concerning his assessment of what patients see us as. My take on the current consumer thinking is that instead of being thought of as car dealers, we have become a commodity, just plug this Dr. in for another.
It was nice to see that this patient realized that there is a difference between doctors. I think the younger population sees us as all the same. I explain to my patients that Drs can be classified as A,B, C, doctors. As a concierge podiatrist, my patients get this concept and seem to understand that like everything else, we are all different and that we are not commodities like a car, where a Chevy is a Chevy, etc.
For those of you out there practicing who feel different and want to be treated and work in a “better” environment, I would strongly suggest looking into being a concierge podiatrist. Practice is great every day.
Ivar E. Roth, DPM,MPH, Newport Beach, CA, ifabs@earthlink.net
|
|
• DESERT FOOT CONFERENCE 2009 • 6th Annual High Risk Diabetic Foot VA Conference
For podiatrists, nurses, wound care specialists - All welcomed Weds, Nov 18 - Fri, Nov 20, 2009 The Buttes, a Marriott Hotel, in Tempe, AZ 14 hours state of the art CME from Frykberg, Armstrong, Robbins, Joseph, Wukich, Andersen, Halpern and more Co-Chairmen • Robert Frykberg, DPM, MPH and Jeffrey Robbins, DPM • Building interdisciplinary diabetic foot care teams • Improving self-management via educational interventions • Maintaining max functional potential after amputation • Review latest limb salvage research • Bring the family • programs for the kids • Escape your office routine to learn Free for VA podiatrists, residents and other VA personnel. $150 for non VA podiatrists LEARN MORE and REGISTER here or contact Nadine Taylor at 800-538-3375
|
|
| RESPONSES / COMMENTS (NON-CLINICAL) - PART 2 | |
RE: OIG's Targeting Podiatrists (Lloyd Smith, DPM) From: Michael M. Rosenblatt, DPM
Dr. Lloyd S. Smith discussed OIG's "targeting" of podiatrists. Even though he states that OIG does not specifically target podiatrists (compared with other providers), we are an "easy target." OIG audits should not go un-questioned. I questioned one on nail care and I believe successfully debunked it. I think OIG was shocked at my response (which was scientifically based), identifying their "report" as politically biased nonsense. (My rebuttal is published in Podiatry Management Online: http://www.podiatrym.com/pmarticle.cfm?id=44)
Dr. Smith is correct that "requests" from OIG can be unsettling. If you receive a request from OIG, you must first determine whether you are obligated by law to satisfy it. You should hire a healthcare attorney FIRST. You will typically be given a time frame to respond, and as long as you stay within that, you should have no problems.
If your attorney advises that you have "no legal obligation" to respond, I would tell you if it were me, I would ignore it. (I cannot provide legal advice). If you are subpoenaed for documents, you should stay within strict guidelines of their demand, sending in nothing extraneous, satisfying only minimum documentation requirements.
APMA has told us several times that they don't trust OIG. Dr. Smith reiterated that same advice in his most recent letter to PM News.
Michael M. Rosenblatt, DPM, San Jose, CA, Rosey1@prodigy.net
|
|
CODINGLINE CORNER
CURRENT TOPICS BEING DISCUSSED ON CODINGLINE'S LISTSERV INCLUDE:
o Co-Pays in a Post Op Period o ICD-9 Code for Melanoma o Electronic Prescription Incentive Question o Charcot Code Arthropathy ICD-9 Coding o Patient Nursing Home Consultation
Codingline subscription information can be found here
|
|
| RESPONSES / COMMENTS (NON-CLINICAL) - PART 3 (CLOSED) | |
RE: Medicare Demand For Overpayments (Bryan C. Markinson, DPM) From: Dennis Shavelson, DPM
Dr. Mullens completed Dr. Marvin Steinberg’s and Dr. McGlamry’s residency programs in the 1970’s. He has been a teacher, author, and now that he has complemented his DPM degree with a law degree, serves our profession from a special perspective. David can make a living with or without offering his advice and expertise to us.
There are few who wish to offer the profession opportunities to be educated, acculturated, and upgraded in order to practice in a healthier environment. Dr. Mullens is giving us a great deal of information and his time for free. Let's appreciate that.
Dennis Shavelson, DPM, NYC, NY, drsha@lifestylepodiatry.com
|
|
PODIATRY MANAGEMENT'S AFFORDABLE ONLINE CME
You can Earn 30 CPME-Approved CME Contact Hours Online
Earn 15 Contact Hours for only $139(Less than $14 per credit) http://www.podiatrym.com/cme.cfm Choose any or ALL (30 CME Contact Hours) from the 20 CME articles posted You Can Now Take Tests and Print Your CME Certificates Online
|
|
| CLASSIFIED ADS | |
PRACTICE FOR SALE – WESTCHESTER COUNTY, NY
Established 30+ year old practice. Well respected podiatrist in beautiful Westchester County Owner ill and needs a quick sale. Mixture of surgery and general podiatry. Hospitals in close proximity. Will lease office to buyer. Call Mali McGrinder at 914-434-1663.
PRACTICE FOR SALE - ALABAMA, GULF COAST
Established 26 year old practice. Owner desires to sell and relocate. Operated 25 hours per week. Mixture of surgery and general podiatry. MD referrals. Surgery center and hospitals in close proximity. Highly profitable. Priced to sell. Will lease office to buyer. Call Mike Crosby at 888-776-2430 or email mcrosby@providerresources.com
PRACTICE FOR SALE – NEW YORK CITY
NY Manhattan, prime location. Upper East Side, 23. Y.O. practice, high visibility-traffic area next to post office, street level, All phases of Podiatry, NO surgery, retiring due to disability. call 516-759-4062 or Paulfxfeet@aol.com
ASSOCIATE POSITION - CHICAGO AREA
Join one of the most successful, long-established podiatry practices in the Chicago area, with excellent salary and benefits. We have an immediate opening for a full-time podiatrist in a multi practice location in Chicago. Must have two years of surgical residency. Please e-mail resume to .comf-massuda@footexperts
PRACTICE FOR SALE - FLORIDA—CENTRAL/SOUTH
Turn-key operation grossing $570,000 annually based on one full-time doctor. Great opportunity for growing the top-line. Surgery is only 14% of the professional man-hours; it can significantly increase income. Medicare makes up 64% of revenues. Seller will assist with transition. Call 863-688-1725, ask for Chas.
OFFICE SPACE/ MRI RENTAL – NYC, LI Turn-key space available, daily, monthly; East 60th off Park Ave, East 22nd St. off 3rd Ave, Hicksville and/or Plainview Long Island. JACHO-certified operating rooms available, as well as all surgical equipment and anesthesia. Extremity MRI Rental. Stark compliant. All exams read by board certified radiologist. Call for details. 516 476-1815
ASSOCIATE POSITION – MARYLAND
Maryland Eastern Shore Practice has opening for associate with ownership interest. MCR approved ASC, EMR, Ultrasound, Flouro, with Hospital Privileges available. E-mail CV to: patimmons@comcast.net
NEEDED CHICAGO -- NW IND & BALTIMORE/WASHINGTON, DC PODIATRISTS
Home Physicians, a medical group specializing in house calls is looking to hire podiatrists in Chicago, Northwest Indiana, and Baltimore, MD. Full and part-time positions are available. Competitive Compensation including malpractice. Contact Scott Schneider. Phone-773-342-4201 FAX 773-486-3548-E-Mail sschneider@homephysicians.com Visit our website
PM News Classified Ads Reach over 11,500 DPM's and Students
Whether you have used equipment to sell or our offering an associate position, PM News classified ads are the fastest, most-effective way of reaching over 11,500 DPM's. Write to bblock@podiatrym.com or call (718) 897-9700 for details. THIS OFFER DOES NOT APPLY TO BUSINESSES PROVIDING PRODUCTS OR SERVICES. Note: For commercial or display ads contact David Kagan at (800) 284-5451 Ext 110.
|
| Disclaimers |
Acceptance and publication by this newsletter of an advertisement, news story, or letter does not imply endorsement or approval by Barry Block or Kane Communications of the company, product, content or ideas expressed in this newsletter. Podiatric Medical News does not represent the views, and is a separate entity from Podiatry Management® Magazine and Podiatry Management® Online. Any information pertaining to legal matters should not be considered to be legal advice, which can only be obtained via individual consultation with an attorney. Information about Medicare billing should be confirmed with your State CAC.
THIS MESSAGE IS INTENDED ONLY FOR THE USE OF THE INDIVIDUAL OR
ENTITY TO WHICH IT IS ADDRESSED AND MAY CONTAIN INFORMATION THAT IS
PRIVILEGED, CONFIDENTIAL AND EXEMPT FROM DISCLOSURE.
If the reader of this message is not the intended recipient or an
employee or agent responsible for delivering the message to the
intended recipient, you are hereby notified that any dissemination,
distribution, or copying of this communication is strictly
prohibited. If you have received this communication in error, please
immediately notify me and you are hereby instructed to delete all
electronic copies and destroy all printed copies.
DISCLAIMER: Internet communications cannot be guaranteed to be
either timely or free of viruses.
| | Guidelines |
- To Post a message, send it to: bblock@podiatrym.com
- Notes should be original and may not be submitted to
other publications or listservs without our express written
permission.
- Notes must be in the following form:
RE: (Topic)
From: (your name, DPM)
Body of letter. Be concise. Limit to 250 words or less). Use
Spellchecker
Your name, DPM City/State
- Subscribers are reminded that they have an ethical obligation to disclose any potential conflicts of interest when commenting on any product, procedure, or service.
| |
|
Browse PMNews Issues
Previous Issue | Next Issue
|
| |
|
|
|